Отбеливание зубов
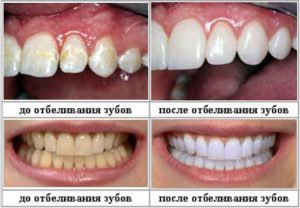
Среди большого количества стоматологических процедур отдельное место занимает отбеливание зубов, так как современные технологии позволяют сделать это без особых проблем.
Существует несколько основных способов, чтобы отбелить зубы, каждый из которых имеет свои особенности. Можно отбелить химическим путем – химически активные вещества при помощи реакций удаляют налет. Можно механическим при помощи активных зубных паст. Но наиболее прогрессивным считается фотоотбеливание зубов, которое проводится только профессионалами и может быть как просто фотоотбеливание, так и при помощи лазера. Любой, кто решит провести отбеливание зубов в Киеве, должен знать, что такое отбеливание проводится только в специализированных клиниках.
Для того чтобы правильно подобрать способ отбеливания, необходимо представлять разницу между лазерным отбеливанием и фотоотбеливанием. При профессиональном отбеливании используется фирменный гель, активация которого происходит при помощи специального аппарата. Если используется фотоотбеливание, то необходимо применение фотолампы, если же необходимо лазерное отбеливание, то не обойтись без диодного лазера Whitening Accelerator. Оба способа имеют практически одинаковый эффект. Очень важным остается тот факт, что стоимость отбеливания зубов при помощи лазера или геля в любом случае будет дешевле, чем имплантировать новые зубы.
Отбеливание зубов с применением прогрессивных технологий обладает целым рядом достоинств. В современных системах используется аморфный фосфат кальция, заполняющих дефекты зубов при помощи мгновенной кристаллизации. За счет этого существенно уменьшается проницаемость эмали и чувствительность зуба. В результате фотоотбеливания можно получить стойкий эффект на долгие годы, лишь через некоторое время эмаль чуть-чуть потемнеет, но этот процесс практически не виден невооруженным глазом. Ведь для сохранения эффекта отбеливания, необходимо регулярно следить за гигиеной рта и регулярно посещать стоматолога. Немаловажным моментом, о котором не стоит забывать, является профилактика. Об этом любому скажет каждый стоматолог в Киеве и в любом другом большом городе. Не стоит думать, что ежедневное применение зубных паст и щеток может спасти зубы от образования зубного камня – каждый человек обладает собственной предрасположенностью к данному процессу. Поэтому специалисты советуют проводить лазерное отбеливание зубов один раз в несколько лет.

