Наші роботи
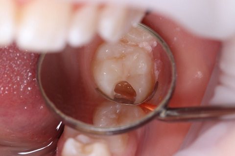
Лікування карієсу
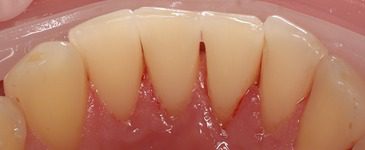
Комплексне чищення зубів
ВІДБІЛЮВАННЯ ЗУБІВ
Назубна каппа
ВІНІРИ
Цирконієві коронки
Тимчасова коронка
Металокерамічні коронки
Заміна металокерамічних коронок
Протезування на імплантах
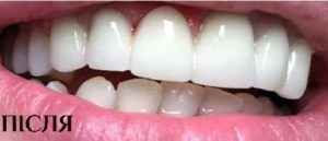
Художня реставрація зубів
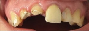
Реставрація
Реставрація
